Ngày 8/4, đại diện Bệnh viện Nhi đồng 1 (TPHCM) cho biết, vừa qua các bác sĩ khoa Ngoại Thần kinh đã tiếp nhận và điều trị thành công một trường hợp bệnh nhi mang khối u não nguy hiểm.
Bệnh nhi là bé T.G.K. (7 tháng tuổi, ngụ tỉnh Đồng Tháp). Khai thác bệnh sử, lúc 3 tháng tuổi, người nhà phát hiện đầu bé to dần, hay nôn ói sau bú và mắt nhìn xuống nên đưa đến khám tại Bệnh viện Nhi đồng 1.
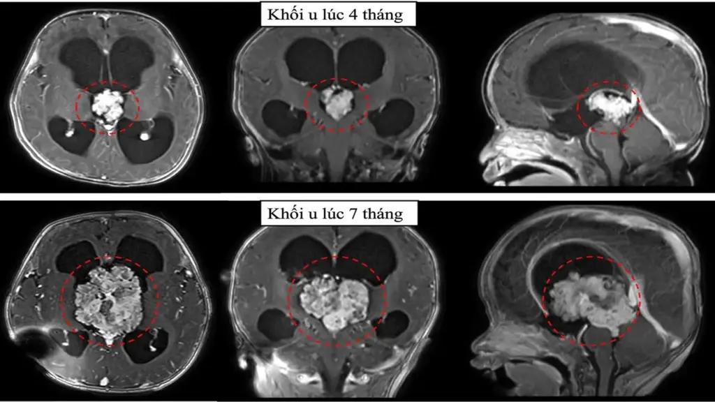
Quá trình thăm khám, bác sĩ ghi nhận bé có tình trạng tăng áp lực nội sọ, ảnh siêu âm cho thấy khối u chèn ép vùng não thất III, gây giãn não thất nặng. Tiếp tục chụp cộng hưởng từ sọ não, bệnh nhi được xác định tình trạng não úng thuỷ tắc nghẽn, với khối u nằm ở vị trí có nhiều cấu trúc thần kinh quan trọng xung quanh.
Kết quả giải phẫu bệnh xác định, bệnh nhi mang u đám rối mạch mạc không điển hình độ 2, một khối u hiếm gặp của hệ thần kinh trung ương.
Do lo lắng việc phẫu thuật lấy u gây nguy cơ cao, gia đình và bác sĩ thống nhất tiến hành đặt dẫn lưu não thất màng bụng để điều trị giảm áp lực nội sọ tạm thời, đợi một khoảng thời gian bé đủ lớn sẽ mổ lấy u.
Nhưng 3 tháng sau, khi chụp phim cộng hưởng từ sọ não, bác sĩ phát hiện khối u tăng kích thước hơn gấp 3 lần. Không thể trì hoãn thêm, ê-kíp điều trị tư vấn gia đình việc phẫu thuật mổ lấy u để cấp cứu cháu bé.
Với sự chuẩn bị chu đáo và phối hợp nhịp nhàng giữa các chuyên khoa Ngoại thần kinh, Phẫu thuật gây mê hồi sức cùng Hồi sức ngoại, ca mổ đã diễn ra an toàn trong 6 giờ đồng hồ, giúp khối u của bé được bóc tách thành công. Sau thời gian hồi sức và chăm sóc tích cực sau mổ, bé đã hồi phục và được xuất viện.
TS.BS Trần Minh Huy, khoa Ngoại Thần kinh, chia sẻ, đây là ca mổ rất khó khăn, khi khối u kích thước lớn (6cm), tăng sinh mạch máu nuôi và phát triển trong lòng não thất. Ngoài ra, với thời gian cuộc mổ kéo dài, nguy cơ mất máu nhiều trên bệnh nhi 7 tháng tuổi đòi hỏi năng lực chuyên môn và phối hợp liên chuyên khoa chặt chẽ.
“Chúng tôi đã vượt qua những thách thức để thực hiện thành công ca phẫu thuật, đưa bệnh nhi trở về lại với cuộc sống bình thường”, bác sĩ Huy nói.
Tái tạo khuyết hổng cho bệnh nhân ung thư vùng má
Các bác sĩ Bệnh viện Nguyễn Trãi (TPHCM) vừa phẫu thuật cắt khối u và tái tạo vùng khuyết hổng cho một phụ nữ mang khối u ác tính vùng má.
Theo bệnh sử, trước 2 tháng nhập viện, bà L. (63 tuổi) đã phát hiện khối cứng ở má trái, tăng dần kích thước theo thời gian và gây đau nhẹ khi ăn nhai. Vì nghĩ là viêm loét thông thường, bà không đi khám sớm, mà chỉ đợi khi tổn thương không cải thiện mới vào Bệnh viện Nguyễn Trãi kiểm tra.
Dựa trên kết quả khám lâm sàng và chẩn đoán hình ảnh, bệnh nhân được xác định ung thư niêm mạc má trái giai đoạn 3. Do khối u xâm lấn sâu, nguy cơ ảnh hưởng chức năng ăn nhai và nuốt sau mổ, bệnh nhân được tư vấn kỹ về phương pháp phẫu thuật và nguy cơ biến chứng.
Song song đó, bà cũng được mở thông dạ dày để nuôi ăn trước mổ, nhằm đảm bảo dinh dưỡng và chuẩn bị thể trạng tốt nhất.
Sau khi cắt rộng khối u và nạo hạch cổ trái, ê-kíp điều trị tiếp tục mổ tái tạo khuyết hổng bằng vạt đảo dưới cằm. Đây là kỹ thuật đòi hỏi các bác sĩ phải kiểm soát toàn diện để đáp ứng an toàn, đồng thời đảm bảo tái tạo mô mềm giúp phục hồi chức năng và thẩm mỹ.
Hậu phẫu, bệnh nhân diễn tiến thuận lợi, vết thương lành tốt và xuất viện sau 5 ngày chăm sóc.
Các bác sĩ khuyến cáo, ung thư niêm mạc má thường khởi phát bằng những tổn thương nhỏ, dễ nhầm với loét miệng thông thường. Người dân cần đi khám ngay khi có các dấu hiệu loét miệng kéo dài trên 2 tuần không lành; có khối cứng vùng má, lưỡi hoặc sàn miệng; chảy máu bất thường trong khoang miệng.
“Người trên 40 tuổi, có tiền sử hút thuốc, uống rượu nên khám và tầm soát định kỳ để phát hiện bệnh ở giai đoạn sớm, giúp nâng cao hiệu quả điều trị và chất lượng sống”, bác sĩ hướng dẫn.
Nhiều nghiên cứu cho thấy lá ổi chứa nhiều hợp chất chống oxy hóa như flavonoid và polyphenol. Những hoạt chất này có khả năng làm chậm quá trình hấp thu đường từ ruột vào máu, từ đó giúp ổn định đường huyết sau ăn, theo Healthline (Mỹ).
Bên cạnh đó, một số nghiên cứu tại Nhật Bản cho thấy trà lá ổi có thể giúp giảm mức đường huyết sau bữa ăn ở người có nguy cơ tiểu đường loại 2.
Bác sĩ Ruchi Bharani, chuyên gia dinh dưỡng Ấn Độ, cho biết các hợp chất trong lá ổi có thể hỗ trợ cải thiện độ nhạy insulin - yếu tố quan trọng trong kiểm soát đường huyết.
Dù có tiềm năng hỗ trợ, các chuyên gia nhấn mạnh lá ổi không thể thay thế thuốc điều trị. Người bệnh tiểu đường cần tuân thủ phác đồ điều trị, kết hợp chế độ ăn và vận động, thay vì phụ thuộc vào các biện pháp dân gian, theo Cleveland Clinic (Mỹ).
Bác sĩ Manoj K. Ahuja, chuyên gia nội khoa tại Bệnh viện Fortis (Ấn Độ), cảnh báo việc tự ý dùng lá ổi với kỳ vọng “hạ đường nhanh” có thể khiến người bệnh chủ quan, bỏ qua quá trình điều trị chuẩn.
Một số người có thói quen uống nước lá ổi đặc hoặc dùng liên tục mỗi ngày. Tuy nhiên, theo các chuyên gia, việc lạm dụng lá ổi có thể gây táo bón, rối loạn tiêu hóa hoặc ảnh hưởng đến hấp thu dưỡng chất, theo The Times of India.
Ngoài ra, nếu đang dùng thuốc hạ đường huyết, việc kết hợp thêm lá ổi mà không có hướng dẫn của bác sĩ có thể làm tăng nguy cơ hạ đường huyết quá mức.
Các chuyên gia dinh dưỡng khuyến nghị nếu muốn sử dụng, nên dùng ở mức vừa phải như một thức uống hỗ trợ, không thay thế bữa ăn hay thuốc điều trị. Nên chọn lá ổi non, rửa sạch, đun nước uống loãng và không dùng liên tục trong thời gian dài.
Người có bệnh nền, đặc biệt là tiểu đường, nên tham khảo ý kiến bác sĩ trước khi sử dụng để tránh tương tác không mong muốn.
Lá ổi có thể hỗ trợ kiểm soát đường huyết nhờ các hoạt chất tự nhiên, nhưng không phải “thần dược”. Theo các chuyên gia, cách hiệu quả nhất vẫn là duy trì chế độ ăn uống khoa học, vận động đều đặn và tuân thủ điều trị y khoa, theo Hiệp hội Tiểu đường Mỹ (ADA).
Để duy trì vẻ ngoài trẻ trung, bên cạnh chế độ ăn uống và tập luyện, việc chăm sóc da là bước cơ bản. Tuy nhiên, nhiều người không nhận ra rằng một số thói quen hằng ngày có thể khiến da lão hóa nhanh hơn dự kiến.
Bác sĩ đa khoa Raj Arora (thuộc Dịch vụ Y tế Quốc gia Anh - NHS), người sở hữu hơn 66.700 lượt theo dõi trên mạng xã hội và thường xuyên xuất hiện trên các kênh truyền hình lớn như ITV hay Sky News, đã chia sẻ những lưu ý quan trọng để ngăn ngừa tình trạng này.
Bác sĩ Raj nhấn mạnh: "Nguyên nhân lớn nhất gây lão hóa da đôi khi không nằm ở những gì bạn thiếu, mà nằm ở những gì bạn cần phải dừng lại".
Dưới đây là 4 thói quen nguy hại nhất mà cô đã tổng hợp:
Nằm nghiêng khi ngủ
Dù là tư thế ngủ phổ biến nhất, nằm nghiêng lại là "kẻ thù" của làn da. Việc áp mặt liên tục vào gối trong thời gian dài tạo ra các "nếp nhăn khi ngủ" (sleep wrinkles) do áp lực và ma sát. Theo thời gian, những đường hằn này có thể trở nên vĩnh viễn.
Tình trạng này dẫn đến các nếp nhăn sâu hơn, các vết gấp trên da và gây mất đối xứng khuôn mặt, đặc biệt khi da mất dần độ đàn hồi theo tuổi tác. Những người có thói quen chỉ nằm nghiêng về một bên thường thấy bên mặt đó có nhiều nếp nhăn và trông già hơn bên còn lại.
Các chuyên gia khuyến nghị tư thế ngủ tốt nhất là nằm ngửa để tránh áp lực trực tiếp lên mặt. Nếu không thể bỏ thói quen nằm nghiêng, bạn nên sử dụng vỏ gối bằng lụa hoặc satin để giảm ma sát, hoặc dùng các loại gối công thái học chống lão hóa để hạn chế sự tiếp xúc giữa da mặt và bề mặt gối.
Không sử dụng kem chống nắng (SPF)
Việc bỏ qua kem chống nắng hằng ngày là nguyên nhân hàng đầu gây lão hóa sớm, chiếm tới 80-90% các thay đổi rõ rệt trên da như nếp nhăn, da thô ráp và đốm nâu.
Các nghiên cứu chỉ ra rằng tia UV phá hủy collagen và elastin, khiến da chảy xệ và không đều màu. Việc sử dụng SPF 30+ hằng ngày là yếu tố sống còn để ngăn chặn (dù không thể đảo ngược hoàn toàn) những tổn thương này. Ngay cả khi da bạn đã có dấu hiệu tổn thương do ánh nắng, việc bắt đầu dùng SPF ngay bây giờ vẫn giúp bảo vệ da khỏi những tác hại tồi tệ hơn trong tương lai.
Thuốc lá điện tử (Vaping)
Bác sĩ Raj cảnh báo thuốc lá điện tử đẩy nhanh quá trình lão hóa, khiến da sớm xuất hiện nếp nhăn, chảy xệ và xỉn màu. Chất nicotine làm co mạch máu, khiến da bị thiếu oxy và dưỡng chất, đồng thời làm giảm sản sinh collagen và elastin. Kết quả là làn da mất đi độ đàn hồi, trông nhợt nhạt và thiếu sức sống hơn hẳn so với những người không sử dụng.
Tình trạng thiếu nước khiến da khô sạm, chảy xệ và dễ hình thành cấu trúc da "giấy nhám" (crepe-paper), tạo ra các nếp nhăn li ti.
Cần phân biệt rõ da thiếu nước (dehydrated skin) khác với da khô (dry skin - thiếu dầu). Da thiếu nước thường do các yếu tố môi trường, chế độ ăn uống kém và sự sụt giảm collagen tự nhiên. Việc cung cấp đủ nước hằng ngày sẽ giúp làm đầy các tế bào da, tăng cường độ đàn hồi và làm mờ các nếp nhăn mảnh do thiếu nước gây ra.
Theo Hiệp hội Tim mạch Mỹ (AHA), chế độ ăn giàu kali có thể giúp giảm tác động của natri - yếu tố chính làm tăng huyết áp - đồng thời hỗ trợ điều hòa hoạt động của mạch máu.
Chuối là một trong những nguồn cung cấp kali tự nhiên dồi dào và dễ hấp thu. Một quả chuối cỡ trung bình chứa khoảng 400 - 450 mg kali, tương đương khoảng 10% nhu cầu hằng ngày của cơ thể.
Giáo sư Frank Hu, chuyên gia dinh dưỡng tại Trường Y tế Công cộng Harvard T.H. Chan (Mỹ), cho biết việc tăng cường thực phẩm giàu kali từ trái cây và rau củ có thể góp phần làm giảm nguy cơ tăng huyết áp và các bệnh tim mạch.
Kali đóng vai trò quan trọng trong việc cân bằng điện giải và duy trì huyết áp ổn định. Khi chế độ ăn chứa quá nhiều natri - thường đến từ muối và thực phẩm chế biến - cơ thể có xu hướng giữ nước, làm tăng áp lực lên thành mạch.
Kali giúp trung hòa tác động này bằng cách thúc đẩy đào thải natri qua nước tiểu, đồng thời hỗ trợ giãn mạch, giúp máu lưu thông dễ dàng hơn. Đây là lý do vì sao chế độ ăn giàu kali thường được khuyến nghị cho người bị tăng huyết áp.
Không chỉ vậy, chuối còn cung cấp chất xơ và các hợp chất chống oxy hóa, góp phần giảm viêm và cải thiện sức khỏe tim mạch tổng thể.
Tiến sĩ Penny Kris-Etherton, chuyên gia dinh dưỡng tại Đại học Penn State (Mỹ), cho biết chế độ ăn giàu trái cây và rau củ không chỉ giúp kiểm soát huyết áp mà còn làm giảm nguy cơ đột quỵ và bệnh tim.
Chuối có thể dễ dàng đưa vào bữa sáng hoặc bữa phụ. Bạn có thể ăn trực tiếp hoặc kết hợp với yến mạch, sữa chua, các loại hạt để tăng giá trị dinh dưỡng và kéo dài cảm giác no.
Một bữa sáng cân bằng với chuối, chất đạm và chất béo lành mạnh không chỉ giúp ổn định huyết áp mà còn hỗ trợ kiểm soát đường huyết và cân nặng.
Tuy nhiên, các chuyên gia cũng lưu ý không nên lạm dụng. Người mắc bệnh thận hoặc đang dùng thuốc ảnh hưởng đến kali cần tham khảo ý kiến bác sĩ trước khi tăng lượng thực phẩm giàu khoáng chất này.
Dù mang lại nhiều lợi ích, chuối không phải “giải pháp duy nhất” cho huyết áp cao. Hiệu quả kiểm soát huyết áp phụ thuộc vào tổng thể chế độ sống, bao gồm ăn uống cân bằng, giảm muối, duy trì cân nặng hợp lý và vận động thường xuyên, theo AHA.
Chuối là lựa chọn đơn giản, dễ thực hiện và chi phí thấp nhưng có thể mang lại lợi ích rõ rệt cho việc hỗ trợ kiểm soát huyết áp nếu được sử dụng hợp lý trong chế độ ăn hằng ngày.